PANDA_ConvNeXT
An attempt to use a ConvNeXT for medical image classification (ISUP grading in prostate histopathology images). Currently uses a tiled and concatenated WSI as input
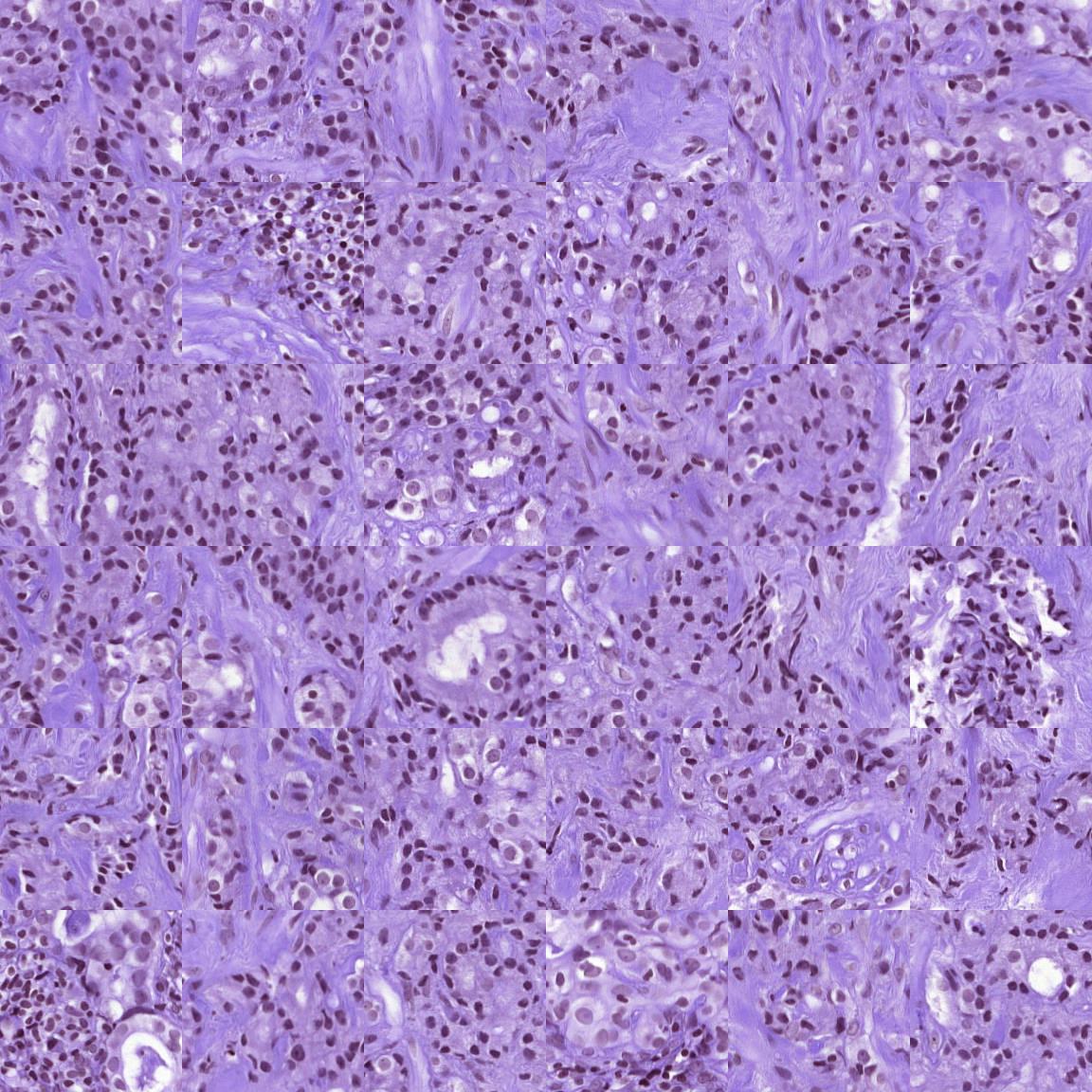
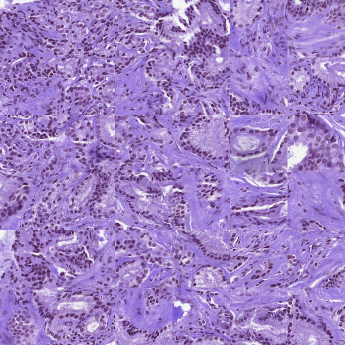
Example Images (1152,1152,3) 36 WSI patches:
ISUP 0:

ISUP 1:
ISUP 2:
ISUP 3:
ISUP 4:
ISUP 5:
